L’impiego delle endoprotesi è ormai una procedura riconosciuta a livello internazionale per il trattamento degli aneurismi aortici.
Consente il trattamento di patologie, anche complesse, in pazienti compromessi e/o con addomi difficili (per pregressi interventi, per anatomia sfavorevole, ecc.) anche in anestesia locale, con una minima sedazione, con tutti i vantaggi insiti nell’evitare anestesie generali e profonde, oltre che nell’esecuzione di una procedura poco invasiva (endovascolare).
La chirurgia vascolare di Busto Arsizio che, storicamente, ha iniziato ad impiegare metodiche endovascolari già alla fine degli anni Novanta, è all’avanguardia per questi trattamenti. In particolare, il primo caso di endoprotesi aortica risale ormai all’inizio degli anni duemila.
“Tuttavia, in casi particolari che rappresentano circa il 35% pazienti, il trattamento standard può non essere percorribile, in particolare per le caratteristiche anatomiche dell’aorta - sottolinea la dottoressa Anna Maria Socrate, Direttore della Unità Operativa Complessa di Chirurgia Vascolare del Presidio Ospedaliero di Busto Arsizio - Ed è quindi necessario cercare soluzioni efficaci, ma differenti, per risolvere il problema del paziente”.
Nello specifico, “presso il nostro ambulatorio, da circa 4 anni era in follow up un paziente di 80 anni, portatore di una PAU (Ulcera Aterosclerotica Penetrante) dell’aorta addominale. In anamnesi riferiva ipertensione, dislipidemia, pregresso intervento alla prostata, cardioversione per fibrillazione alcuni anni prima e, attualmente, terapia con anticoagulante sempre, per la fibrillazione. Il paziente era asintomatico, anche all’ultimo controllo, ma abbiamo assistito a un repentino incremento della profondità della lesione che è passato in poco più di 6 mesi da 0,8 mm a 20 mm”, prosegue la dottoressa Socrate.
L’ulcera penetrante aterosclerotica (PAU) dell’aorta è una patologia che si riscontra, prevalentemente, in aorta toracica, eccezionalmente in aorta addominale (circa 1% dei casi): caratteristicamente, questa lesione si sviluppa nei pazienti anziani, con un’aterosclerosi sistemica.
La sua storia naturale è poco chiara e il trattamento controverso. In passato, l’unico trattamento era quello chirurgico con apertura della cavità addominale e sostituzione della aorta, gravata da tutte le possibili complicanze di un intervento di chirurgia maggiore.
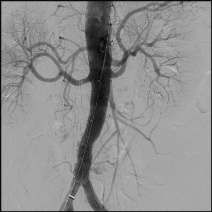
Avere a disposizione degli stent dedicati all’aorta (endoprotesi) ha consentito di cambiare la strategia del trattamento. L’attuale procedura, poco invasiva, è utilizzabile anche in pazienti ad alto rischio e può essere impiegata anche in caso di rottura (quindi in urgenza).
Il successo tecnico è di circa il 99% dei casi, senza reinterventi nel breve e medio periodo. Tuttavia, l’intervento deve essere ben ponderato. Nello specifico, “per quanto riguarda il nostro paziente - continua la Direttrice della Unità Operativa di Chirurgia Vascolare di Busto - era asintomatico, ma con un tasso di espansione considerevole che ci ha indotto a pensare al trattamento.
Assieme ai miei collaboratori, abbiamo studiato il caso e svolto un’accurata ricerca bibliografica: l’anatomia dell’aorta non ci consentiva un trattamento convenzionale, ma in letteratura sono riportate esperienze alternative per queste situazioni”.
In anestesia locale e sedazione, mediante un accesso mini-invasivo - percutaneo, è stata impiantata la protesi con un particolare accorgimento tecnico (invertendo la protesi su banco) che ha consentito di riparare la lesione, senza aprire l’addome.
Il lavoro di un gruppo affiatato, la collaborazione di tutta l’equipe medica, infermieristica ed anestesiologica ha permesso di ottenere questo buon risultato, con un minimo impatto per il paziente.
“Il lavoro di squadra, come recentemente riportato per altre realtà dinamiche e in espansione del nostro Ospedale, è certo alla base di buoni risultati per i pazienti, anche i più complessi”, conclude la dottoressa Socrate.





