Sono una ventina in Italia i centri che offrono il trattamento con microsfere radioattive contenenti ittrio 90 ai pazienti con tumore al fegato polifocale non operabile. Non più di 5 in Lombardia. Tra questi, c'è l'ASST Sette Laghi e, in particolare, il team multidisciplinare composto dagli specialisti della Medicina nucleare, della Radiologia interventistica, della Fisica sanitaria, oltre ovviamente a quelli dell'Oncologia medica e della Gastroenterologia.
Dallo scorso mese di gennaio, infatti, i pazienti con tumore epatico non resecabile, ovvero non operabile in quanto polifocale, cioè diffuso all'intero organo o comunque ad un intero lobo, possono essere sottoposti a questo trattamento che tecnicamente si chiama SIRT, Selective Intra-arterial Radiation Therapy.
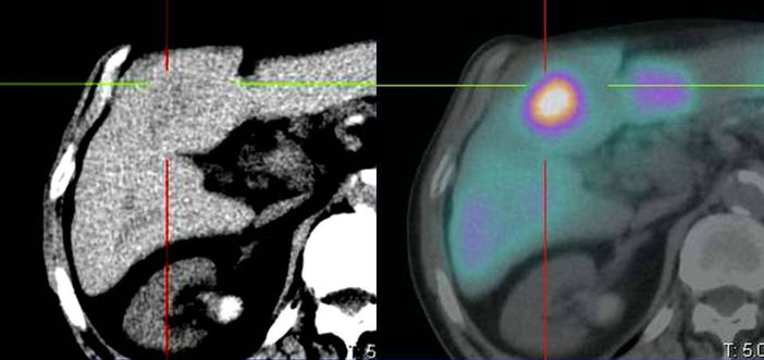
«Tecnicamente - spiega il Dott. Diego De Palma, Direttore della Medicina nucleare - dapprima si procede con uno studio diagnostico mediante un radiofarmaco che, iniettato, permette di evidenziare la dislocazione e la diffusione delle lesioni epatiche, così da valutare la fattibilità del trattamento e stabilire, insieme all’esperto di Radioprotezione della Fisica sanitaria, la corretta attività terapeutica. Successivamente, a distanza di 3-4 settimane, si procede con la somministrazione della terapia, cioè con l'iniezione delle microsfere radioattive».
L'operazione è delicata e si svolge nelle sale di Radiologia interventistica: a seconda della collocazione delle lesioni, il radiologo raggiunge con un catetere l'arteria epatica nel punto più idoneo per colpire in modo mirato. Una volta aperta la strada, è il medico nucleare che somministra le microsfere che, a migliaia, si vanno a posizionare nei vasi capillari che irrorano le lesioni tumorali da distruggere con le radiazioni.
Le microsfere hanno infatti un diametro tale da permettere di raggiungere i vasi capillari, ma non di andare oltre: si evita così il rischio che ritornino nei grandi vasi venosi che le porterebbero nelle altre parti dell'organismo causando pericolose ulcere. «È proprio per questo motivo - aggiunge De Palma - che lo studio con il radiofarmaco che precede il trattamento richiede grande attenzione: alcuni tumori epatici, infatti, derivano da malattie cirrotiche che potrebbero aver alterato la circolazione intorno al fegato mettendo a rischio il paziente durante il trattamento vero e proprio».
L’indicazione al trattamento è sempre condivisa all’interno del Team Multidisciplinare di Oncologia Gastroenterologica aziendale ed è infatti un esempio di cooperazione per l’ottimale sfruttamento delle risorse mediche più moderne.
«Anche in un periodo complesso come quello l’attuale - tiene a sottolineare il Direttore sanitario dell'ASST Sette Laghi, Lorenzo Maffioli - i nostri professionisti proseguono nel curare i pazienti oncologici, senza farsi ostacolare dalle difficoltà e anzi aprendosi alle più moderne soluzioni disponibili».




